온구조동물
- 해탈이 A00022-2011 1798
-
현재상태사망 (2021년 04월 27일)
-
이름구조당시 - | 입소 후 해탈이 | 입양 후 -
-
종개 (혼혈견)
-
나이16살 (2010년 10월생) 추정
-
성별 / 몸무게수컷 / 17.5 kg
- 온센터
- ·
- 2021-06-14
애도와 슬픔의 기록, 모두 기억하겠다는 다짐
- 온센터
- ·
- 2021-05-06
[부고] 꿈에서 또 보자, 해탈아.
- 온센터
- ·
- 2017-08-04
천진난만 질투쟁이 해탈이
'해탈이'의 더 많은 소식이 궁금하다면, 인스타그램에 검색해보세요!
•치료내역•
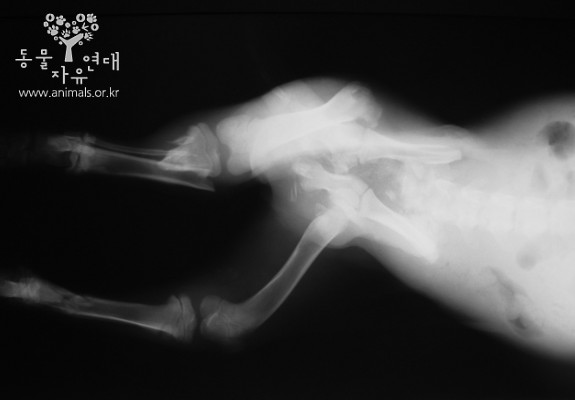
- 2010/12/27 교통사고로 양측 경골 골절, 왼쪽 천골 장골 접합부 골절, 오른쪽 대퇴골 머리부위 골절, 골반 쪽 치골 복합골절
- 2010/12/31 수술 진행, 오른쪽 경골 핀으로 교정, 오른쪽 대퇴 골두 제거술, 왼쪽 천장골 접합부 교정술, 왼쪽 경골 외부고정(붕대+부목), 오른쪽 경골 내측 피부 찰과상 2기 유합
- 2011/01/24 홍역판정 격리 치료 시작
- 2011/03/08 홍역은 거의 완치 단계, 신경 쪽은 조금 더 두고 보기로 함/1차 접종부터 다시 시작
- 2011/08월 허피스 바이러스와 마이코플라즈마 균에 의한 폐렴 증세로 약 복용
- 2012/10/28 추가 예방접종
•특이사항•
- 특이사항 없음

