입양후기
가족을 만나 행복한 일상을 보내고 있는
온센터 입양 동물들의 소식을 들려드립니다.
옥희(몰랑이),복희(동백이)와 함께한지 3년 되었습니다^^
- 송지영
- |
- 2023.04.01
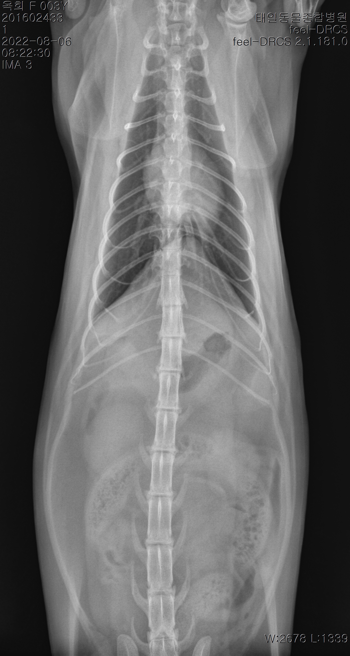
옥희(몰랑이)랑 복희(동백이)는 아주 잘 지내고 있습니다.옥희는 여전히 터널에서 노는 거 좋아하고 캣휠탈때는 꼭 저를 불러서 옆에서 보라고 해요~복희는 이제 진짜 완전히 마음의 문을 활짝 열어준 거 같아요.곧잘 옥희한테 먼저 장난도 치고 저희옆에 꼭 붙어 지냅니다.작년 8월에는 종합검진을 받았는데 옥희는 예전에 고관절 골절 흔적이 있단 얘기를 들었어요.그 순간 놀래기도 하고 어디서 누구한테 그런일을 당했던건지 상상하게 되면서 마음이 너무 아프더라고요.지금은 치료해줄 부분이 아니고 잘 지내고 있어서 다행이긴 합니다.복희는 심장관련 혈액검사결과가 살짝 높게 나와서 한달후 심장초음파 검사 재검해봤는데 심장이 커졌다거나 하는 문제가 없다고 했어요~아이들도 잘 지내고 저희도 애기들 덕분에 즐겁게 살고 있습니다^^다음에 또 즐거운 소식과 사진 올릴게요~
- 2
- |
- 494
- |
- 7




강하루 2023.05.04
옥희복희 너무 귀여워요~ 건강에 이상이 없다니 정말 다행이네요ㅎㅎ 앞으로 행복한 일들만 생기길 바랍니다!
몽구언니 2023.04.03
옥희 검진에서 갑작스런 골절 소식 접하셔서 놀라셨을것같아요 ㅠㅠ 큰 문제는 없는것같아 다행입니다. 옥희랑 복희 소식 전해주셔서 감사합니다:)